[hr] [en]
banner

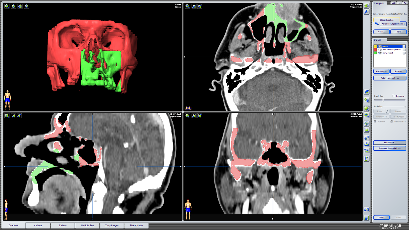
3D kompjutorsko planiranje rekonstrukcije defekta gornje čeljusti