[hr]
[en]
Prof. dr. Vedran Uglešić
Životopis
Galerija slika
Najčešći zahvati
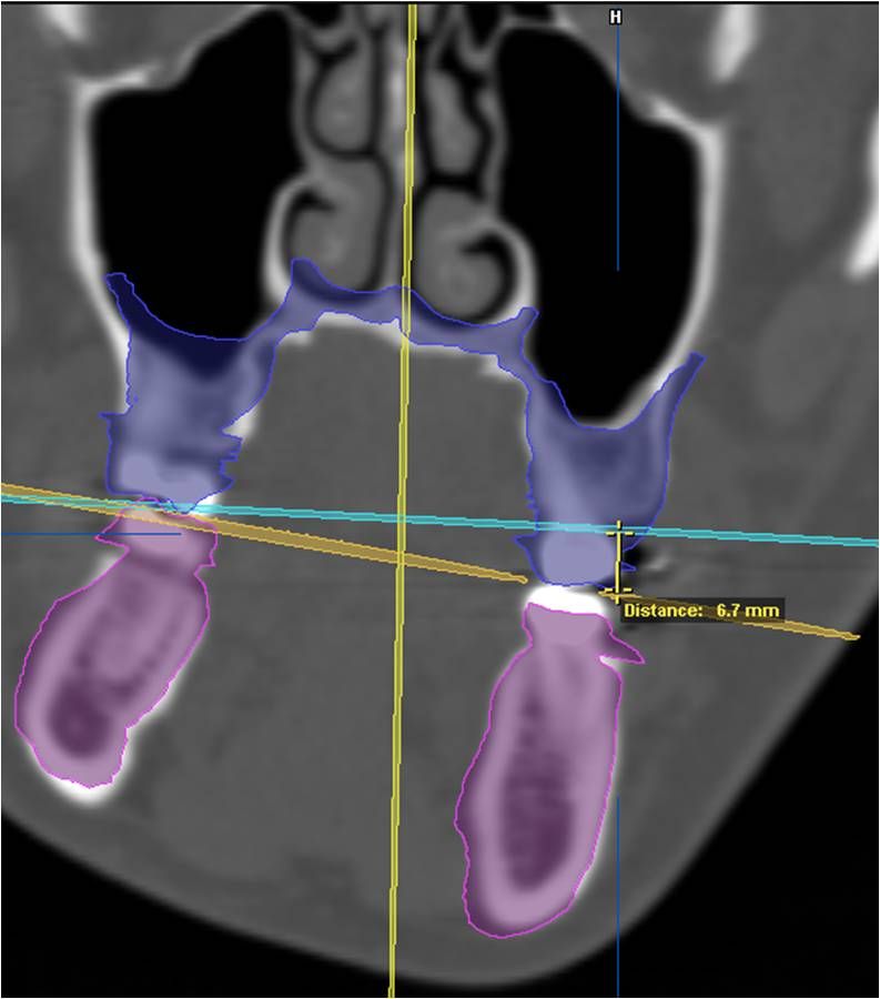
Kompjutorsko planiranje i simulacija
Najčešći zahvati:
Facelifting
Korekcija ožiljaka
Kirurgija očnih vjeđa
Kirurgija brade
Korekcija čela
Korektivna kirurgija čeljusti
Dermoabrazija i kemijski piling
Operacija nosa
Korekcija uške
Lipofiling
Odstranjivanje kožnih tumora i drugih kožnih promjena
Kompjutorska simulacija
Za operaciju
Kontakt
<<< Povratak u izbor galerija
3D kompjutorsko planiranje korekcije asimetrije lica
(c) 2021